Вместо раковой опухоли хирурги извлекли игрушку из легких пациента
Читайте также:
- Секс между астронавтами помешал колонизации Марса (29.09.2017 12:45)
 - Британка убила приемного сына ради материальной компенсации от страховой компании (03.09.2017 14:45)
 - Опозорившись в самолете, британец стермительно похудел (24.08.2017 15:14)
 
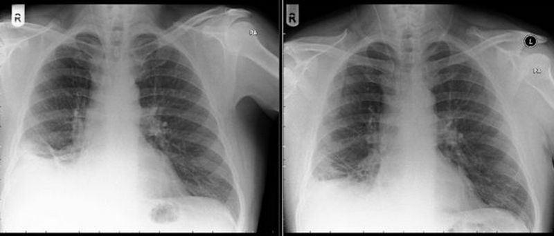
47-летнему британцу из Престона провели операцию по удалению раковой опухоли, а извлекли игрушку, которую он случайно вдохнул 40 лет назад.
Мужчина попал в больницу после года непрекращающегося и изнурительного кашля. Врачи подозревали, что у заядлого курильщика развился рак легких, но действительность оказалась удивительно обнадеживающей.
По рентгеновскому снимку невозможно было определить природу новообразования в легких пациента, но оно было видно достаточно ясно. Медики решили провести операцию.
В ходе операции выяснилось, что смертоносная опухоль – это игрушечный дорожный конус, который мужчина случайно вдохнул в 7-летнем возрасте.
Через четыре месяца после удаления конуса состояние пациента заметно улучшилось. Врачи пока не могут объяснить, почему игрушка так долго не давала о себе знать, но, вероятнее всего, это связано с тем, что их пациент был в очень юном возрасте и его легкие адаптировались к инородному предмету.
	  
Недавно увеличение ягодиц привело к мучительной смерти фанатки Кардашьян.